Hva gjør vi hvis ECMO-kretsen stanser?

Pasienter som er under ECMO-behandling er kritisk avhengig av at ECMO-kretsen fungerer slik den skal. Selv stans på få minutter kan være fatalt. ECMO-kretsen kan stanse på grunn av teknisk feil i konsollen, lekkasjer på slanger eller kanyler, blodpropper i kretsen eller luftbobler i kretsen. For å unngå alvorlige konsekvenser av slike stanser har vi alltid en reserve-ECMO stående like ved pasienten. Denne ECMOen er ferdig fyllt opp ved væske og er klar til å kobles til pasienten på et øyeblikks varsel.

Lege som er kompetent til å utføre prosedyrene er aldri mer en noen få sekunder unna pasientsengen, og vi trener på disse prosedyrene regelmessig sammen med sykepleiere og perfusjonister.

Voila_Capture 2017-12-27_08-54-56_pm

Her er prosedyren vår for akutt kretsbytte. Målet er å gjennomføre bytte på under 30 sekunder fra den gamle ECMO-kretsen er stengt av til den nye ECMO-kretsen går. Kretsbytte gjøres i beste fall planlagt fordi det er identifisert et problem med den gamle kretsen, men kan også måtte utføres akutt dersom noe uforutsett oppstår. Kretsbytte kan foretas der pasienten er, enten det er på operasjonsstue, intensiv eller under transport.

Voila_Capture 2017-12-27_09-07-49_pm

Kan traumepasienter legges på ECMO?

For traumepasienter gjelder det samme som for øvrige pasienter: Hvis det er en kritisk svikt i lunge- eller hjertefunksjon kan ECMO være en måte  å reversere kritisk oksygenerings- og sirkulasjonssvikt. På denne måten får man tid til å takle de øvrige utfordringene etter traumet.

Ved hodeskader er det spesielt kritisk å ha ha normocapni og unngå hypoksi. Aggresiv respiratorbehandling høye luftveistrykk vil også kunne bidra til redusert intracerebral perfusjon, og kan i tillegg forværre lungeskaden.

Kretsen er ende-til-ende-heparinisert, og vi trenger ikke gi ekstra heparin til pasienten under starten på ECMO-kjøringen. På den måten øker ikke ECMO blødningsrisikoen ved traumer, og kan til og med redusere den ved å normalisere pasientens fysiologi med hensyn på syre/base, temperatur og perfusjon. Utbredte frakturer og kjente blødningskilder er således ikke til hinder for å bruke ECMO. Den øvrige traumehåndteringen fortsetter uavhengig av ECMO-teamets innsats.

Det er viktig å fange opp trendene i hjerte- og lungefunskjon. Tilstanden kan forværre eller forbedre seg etter den initielle statusen avhengig av mekanismen for svikten. Ta gjerne kontakt før situasjonen er kritisk.

Noen ganger kan en pasientet med hodeskade være så alvorlig  skadet at sirkulasjonen til hjernen opphører til tross for ECMO-støtte. Dersom denne situasjonen oppstår er ECMO ikke til hinder for at det kan gjennomføres organdonasjon.

Dersom du har en traumepasient som har oksygeneringssvikt, ventilasjonsvikt eller cardiogen sirkulasjonssvikt rapporteres dette til Traumeleder UNN-Tromsø, som i sin tur tar kontakt med ECMO-teamet for å diskutere strategi.

Det foreligger ingen RCT som kan støtte beslutningen om ECMO-støtte i disse pasientene. I mangel av RCTer må vi støtte oss på case-serier og historiske kontroller.

Arlt et al har presentert en serie med 7 VV-ECMO-pasienter på grunn av lungesvikt etter traume og 3 pasienter med VA-ECMO på grunn av hjerte/lungesvikt etter traume. De oppnådde fysoiologisk stabilisering i løpet av to timer og en overlevelse på 60% blant disse sterkt skadde og ustabile pasientene (1). De presenterer ingen kontroller

Borsange et al presenterte en case-serie i Journal of Trauma i 2016 der 15 pasienter med ECMO på grunn ARDS etter traume ble sammenlignet med 14 historiske kontroller som fikk konvensjonell behandling for samme tilstand. I denne studien var mortaliteten 13% i ECMO-gruppen og 64% i den konvensjonelle gruppen (2). Studiedesignen er følsom for seleksjonsbias.

Robba et al har i samme tidsskrift i 2017 presentert sin case-serie på fire post-traume ARDS pasienter som ble lagt på ECMO og en litteraturoversikt over lignende pasienter. De beskriver 31 pasienter med og uten heparinbehandling. Blant disse 31 pasientene døde 4, og ingen av ECMO-relaterte komplikasjoner (3). Studien er følsom for seleksjonsbias.

 

(1) 1. Arlt M, Philipp A, Voelkel S, Rupprecht L, Mueller T, Hilker M, et al. Extracorporeal membrane oxygenation in severe trauma patients with bleeding shock. Resuscitation [Internet]. Elsevier BV; 2010 Jul;81(7):804–9. http://dx.doi.org/10.1016/j.resuscitation.2010.02.020

(2) Bosarge, P. L., Raff, L. A., McGwin, G., Carroll, S. L., Bellot, S. C., Diaz-Guzman, E., & Kerby, J. D. (2016). Early initiation of extracorporeal membrane oxygenation improves survival in adult trauma patients with severe adult respiratory distress syndrome. Journal of Trauma and Acute Care Surgery, 81(2), 236–243. http://doi:10.1097/ta.0000000000001068

(3) Robba C, Ortu A, Bilotta F, Lombardo A, Sekhon MS, Gallo F, et al. Extracorporeal membrane oxygenation for adult respiratory distress syndrome in trauma patients. Journal of Trauma and Acute Care Surgery [Internet]. Ovid Technologies (Wolters Kluwer Health); 2017 Jan;82(1):165–73. http://dx.doi.org/10.1097/TA.0000000000001276

ECMO som støtte under risikable prosedyrer

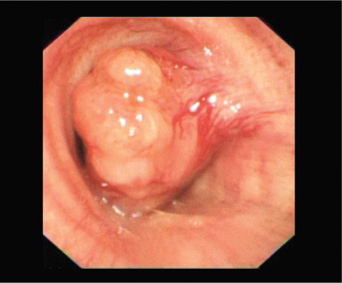
Luftveistumor
http://www.jto.org/article/S1556-0864(15)32149-3/fulltext

Dersom pasienten har en tilstand der man er redd for å miste kontroll over luftvei, ventilasjon eller sirkulasjon under en spesiell prosedyre kan ECMO være en bro for å komme seg gjennom prosedyren. Dette kan dreie seg om både elektive og akutte prosedyrer. Pasienten trenger ikke å hepariniseres i forbindelse med prosedyren. Man kan organisere seg slik at ECMO er i bedredskap dersom risikoen for komplikasjoner er lav, eller man kan legge pasienten på ECMO før prosedyren dersom risikoen er høy.

Eksempler på slike tilstander er:

  • Høyrisiko PCI-prosedyrer der man er bekymret for at pasienten får hjertestans eller cardiogent sjokk under prosedyren.
  • TAVI-prosedyrer der pasienten får ny aortaklaff gjennom lyskearterien eller hjertespissen. Ved denne prosedyren har vi alltid ECMO i bereskap og i noen tilfeller legger vi pasienten på i forkant.
  • Tumores som ligger i luftveien eller presser på luftveien slik som luftveiskreft eller struma
  • Bronkopleural fistel der overtrykksventilasjon gjør tilstanden værre.
  • Pasienter med kritisk lunge- eller hjertesvikt som skal gjennom en prosedyre der organfunksjonen er for lav til å tåle inngrepet

Dersom du har pasienter som kommer innenfor disse kategoriene henvender du deg på vanlig måte til aktuell organspesialist, så vi denne ta kontakt med ECMO-teamet og legge en plan for pasienten

Hjertestans på sykehus: ECMO ja eller nei?

En fersk metaanalyse publisert i Resuscitation i oktober 2017 prøver å besvare dette spørsmålet. De gikk igjennom 11 studier med totalt 856 pasienter som fikk hjertestans på sykehus. 38% overlevde til sykehusutskrivelse med godt nevrologisk resultat i 84% av overleverene. Evidenskvaliteten er som forventet lav.

Faktorer som slo positivt ut på overlevelse var

  • Sjokkbar første rytme under resusvitering
  • Kortere tid med HLR før ECMO
  • Lavere laktat før ECMO
  • Lavere kreatinin og multiorgansvikt-score etter ett døgn på intensiven

Faktorer som ikke påvirket overlevelsen var

  • Alder
  • Kjønn
  • Om stansen skyldtes hjertesykdom eller annen sykdom
prediktorer ihca ECMO-HLR
S. D’Arrigo et al. / Resuscitation 121 (2017) 62–70

Disse funnene støtter vår strategi med å jobbe med å få ned alt som gir tidstap fra hjertestans til ECMO-etablering. Det støtter også en aggressiv strategi med bruk av ECMO som en bro til diagnostikk og prognose. I vår protokoll har vi ikke med alder som et eksklusjonskriterium – vi gjør en individuell vurdering av alle pasienters mulighet for reahbilitering uansett alder.

 

Hva er forholdet mellom ECMO, IABP og Impella?

Alle disse tre maskinene brukes ved sirkulasjonssvikt, men de har ulik kapsitet, og har sin rolle ved forskjellige typer og grader av svikt.

IABP kan snu et mildt cardiogent sjokk med systolisk venstreventrikkelsvikt, men er utilstrekkelig ved mer uttalt eller kompleks svikt. ECMO er den mest potente og allsidige av de akutte perkutane metodene, og Impella ligger et sted midt på treet. I den akutte situasjonen er de nøyaktige sviktmekanismene ofte ikke helt klarlagt, og da er det en trøst at ECMO vil gi god oksygenleveranse uavhengig om det er en høyre-, venstre-, diastolisk eller annen type hjertesvikt eller hvis lungesvikt er en del av problemet.

doshitable1-e1511121026468.png

sirkulatorisk assist vindu

Vi kombinerer ofte ECMO og IABP. I disse situasjonene bruker vi IABP for å avlaste venstre ventrikkel slik at venstre ventrikkel jobber på lavere hjertevolum og lavere metabolisme (1). Dette sikrer at vi ikke havner i en situasjon der hjertet er vedvarende ischemisk til tross for at pasienten er på ECMO. Impella kan brukes på samme måte (2). I tillegg kan Impella og IABP lette avgangen fra ECMO. I motsatt ende av pasientforløpet begge apparatene kan være en måte å kjøpe tid på til vi rekker å legge pasienten på ECMO.

ECMO impella IABO.png

Hjelper ECMO ved sepsis?

I motsetning til det mange tror er sepsis ikke en kontraindikasjon mot ECMO-behandling

Når vi legger en pasient på ECMO oppstår det en inflammatorisk reaksjon i møtet mellom pasientens blod og ECMO-kretsen. Denne reaksjonen er i alminnelighet beskjeden og forbigående. Ved sepsis går kroppen gjennom en enorm inflammatorisk reaksjon, og tidligere trodde man at summen av disse to reaksjonene ville bli for kraftig til at pasienten kunne overleve. Nå vet vi at det det inflammatoriske påslaget av ECMOen i denne situasjonen er neglisjerbar, og vi er ikke lenger bekymret for å legge sepsispasienter på ECMO.

Imidlertid modifiserer ikke ECMO sepsisforløpet per se. Det er fremdeles fjerning av inflammatorisk fokus og antimikrobiell behandling som skal til for å gjøre pasienten frisk. Det ECMO kan bidra med er å løfte pasienten gjennom en fase med livstruende hjerte- og eller lungesvikt som kan være en del av sepsis-forløpet. Dersom pasienten utvikler disse tilstandene kan ECMO være det som skal til for at pasienten skal ha mulighet for å overleve. Vi ser også ofte at det å reversere oksygenleveranseproblemene til pasienten reduserer den totale inflammasjonen.

septisk kardiomyopati
Mekanismer for septisk cardiomyopati M.W. Merx, and C. Weber Circulation. 2007;116:793-802

Hvis det ikke foreligger hjerte- eller lungesvikt forandrer ikke ECMO-behandling forløpet av sepsistilstanden, og i slike tilfeller vil vi ikke starte ECMO-behandling.

50% av pasienter med septisk sjokk har septisk cardiomyopati (hjertesvikt) (Parker, 1984, Viellard-Baron 2008, Pulido 2012)

I en studie fra paris der pasienter med sepsisindusert hjertesvikt (EF 16%, CI 1,3, laktat 9, SVRI 3000) ble lagt på VA-ECMO overlevde 70% av pasientene mer enn ett år (1)

Til sammenligning er det gjort en japansk studie av refraktært septisk sjokk der en lav andel av sepsispasientene hadde hjertesvikt (20% hadde EF < 50%) eller lungesvikt. 40% av pasientene gjennomgikk ECMO-HLR. I denne studien var overlevelsen bare 15% (2)

Disse to studiene illustrerer at ECMO hjelper mot hjerte- eller lungesvikt, ikke mot de underliggende sepsismekanismene.

 

  1. Bréchot, C.-E. Luyt, M. Schmidt, P. Leprince, J.-L. Trouillet, P. Léger, A. Pavie, J. Chastre, and A. Combes, “Venoarterial extracorporeal membrane oxygenation support for refractory cardiovascular dysfunction during severe bacterial septic shock. Crit. Care Med., vol. 41, no. 7, pp. 1616–26, Jul. 2013.
  2. C.-T. Huang, Y.-J. Tsai, P.-R. Tsai, and W.-J. Ko, “Extracorporeal membrane oxygenation resuscitation in adult patients with refractory septic shock,” J. Thorac. Cardiovasc. Surg., vol. 146, no. 4, pp. 1041–1046, 2012.

ECMO-trender

I takt med at ECMO-kretser og ECMO-konsoller har blitt bedre har også kunnskapen om hvordan vi skal bruke ECMO riktig økt. Det vi alltid er redd for for disse kritisk syke pasientene er å gjøre «to little, to late». Feil timing av ECMO-behandling forringer sjansenen til overlevelse. Tradisjonen hos oss er å iverksette ECMO «i siste liten», når vi er helt overbevist om at pasienten kommer til å dø uten ECMO. Det er ikke gitt at dette er riktig strategi.

Svineinfluensa-epidemiene, der unge mennesker utviklet livstruende respirasjonssvikt, innebar en sterk økning i ECMO-tallene.

I en amerikansk studie økte Antall ECMO-behandlinger med 433% fra 2000 til 2011 uten at mortaliteten endret seg 1). Dette betyr at ECMO-programmet i USA produserte har produsert høyere antall overlevere etterhvert som programmet har utviklet seg

Antall ECMO-caser USA
Antall ECMO-pasienter per million utskrevne pasienter i USA 1)
Antall ECMO-caser USA_002
Prosentuell overlevelse etter ECMO-behandling i USA 1)
  1. Sauer et al, ASAIO Journal 2015; 61:31–36.

Kanylering

Kanylering er prosessen der vi legger inn relativt store kanyler i et par av pasientens blodårer.

Den blå kanylen ligger alltid i vena cava. Lange (55 cm), blå kanyler brukes dersom vi når vena cava fra v. femoralis. Kortere (38 cm) brukes dersom vi når vena cava fra v. jugularis interna på høyre side.

Den røde kanylen ligger enten i en stor arterie eller stor vene, avhengig om vi kjører ECMO veno-arterielt som hjerte/lungeavlastning, eller veno-venøst som ren lungeavlastning.

hls-cannulae-set-primary
Fra maquet.com

ECMO-kanylene er tynner i veggen enn hjertelungemaskinkanyler, og vi kan derfor gå ned i ytterdiameter på kanylene. Kanylediameyter velges ut fra pasientens størrelse og hvilken blodstrøm vi ønsker å oppnå.

På pasienter med bevart sirkulasjon bruker vi perkutan teknikk der vi stikker med nål, eventuelt med ultralydveiledning, i de karene vi trenger tilgang på. Deretter legger vi inn en lang wire. Vi begynner alltid med en myk wire som vi senere bytter til en stiv wire som er tryggere å jobbe over med store kanyler. Posisjonen på wiren bekreftes med gjennomlysning og/eller ultralyd. Deretter bruker vi gradvis større dilatatorer til hullet i huden og blodkaret er stort nok til av vi kan få inn kanylen.

11695_web
Karaksess-kit med kniv, nål, myk wire og dilatatorer. Dette settet er fra Avalon er bra, men er vanskelig å få tak i. For det meste bruker vi et annet sett fra Maquet
amplatz2__90469.1495560631.386.513
Den stive wiren er trygger å jobbe med når vi skal dilatere og legge inn kanyler, men vi foretrekker å bruke en myk wire først for å få riktig wireposisjon, og deretter bytter vi til stiv wire gjennom et føringskateter dersom vi har tid.

På pasienter som er i hjertestans, eller pasienter med vanskelig anatomi gjør kirurgen et lite kirurgisk inngrep i lysken slik at vi kan se blodkarene der. Deretter stikkes det med nål, legges i wire og prosedyren fullføres som beskrevet over.

Hva er egentlig en ECMO-maskin?

Vi bruker Cardiohelp fra Maquet som vår ECMO-konsoll. ECMO-konsollen er den komponenten som fester til sentrifugalpumpen med magneter og driver denne rundt. I tillegg inneholder konsollen tilkobling for sensorer som måler trykk på ulike plasser i pasientkretsen, temperatur, Hb, oksygenmetning og blodgjennomstrømning.

cardiohelp-front

På forsiden av konsollen er det knapper, touchscreen og innstillingshjul. Med disse kontrollene kan vi stille inn Cardiohelpen til å fungere som ønsket. Alle måleverdier og alarmer vises i displayet.

Cardiohelp bak

På baksiden av Cardiohelpen kobler vi til sentrifugalpumpen som er festet direkte til oksygenatoren. Den blå tilkoblingen er til slangen og kanylen som henter blod fra psienten, den røde tilkoblingen er til slangen og kanylen som fører blod tilbake igjen til pasienten.

Cardiohelpen veier bare 10 kg, har batteridrift for flere timer og er godkjent for bruk under transport i bil og flere typer luftfartøy.

Hvordan virker oksygenatoren?

Oksygenatoren er den delen i ECMO-kretsen der gassvekslingen foregår. Oksygenatoren gjør det lunge vanligvis gjør: Den overfører oksygen til blodet og CO2 fra blodet. Dette skjer ved at blod sirkulerer på den ene siden av en spesiell membran og en blanding av medisinsk luft og oksygen sirkulerer på den andre siden av membranen. Membranen er sånn konstruert at den slipper igjennom gasser, men ikke væske.

Oxygenator1
Lab Chip, 2014,14, 4122-4138, DOI10.1039/C4LC00828F

Mengden oksygen som overføres til blodet avgjøres av oksygenkonstrasjonen i gassfasen, FiO2, mens mengden CO2 som elimineres avgjøres av luftgjennomstrømningshastigheten i oksygenatoren: Jo mer luft vi sirkulerer gjennom oksygenatoren, jo mer CO2 fjerner vi fra blodet.

Oksygenator fiber
Elektronmikroskopi av overflaten på en ECMO-membran-fiber. Forstørret 20.000 ganger. Fra thoracickey.com

Det er i materialutviklingen av oksygenatormembraner det store fremskrittet i ECMO-teknologi har foregått. Membranen i våre oksygenatorer er lavet av svært småporet (0,05 um) polymetylpenten og har en biokompatibel overflatedekking som gir mindre aktivering av pasientens koagulasjons- og inflamasjonssystem. Til tross for dette ønsker vi alltid å antikoagulere pasientene våre så lenge vi er på ECMO, men i situasjoner med pågående blødning er det mulig å kjøre ECMO-kretsen i flere døgn uten antikoagulasjon.

I tillegg til fibrene som fører luft er det bygget inn i våre oksygenatorer egne, impermbeable fibre som fører varmt eller kaldt vann avhengig om vi vil varme eller kjøle pasienten.

Her er en animasjon av hva som skjer inne i oxygenatoren (første 3,5 minutter)

ECMO-teamets skap og bagger

Det høres kanskje rart ut, men ECMO-teamet er veldig opptatt av skap og bagger.

Perfusjonist-Thomas er systematikeren blant oss og har gjort en kjempeinnsats for å innrede ECMO-skapene og -baggene.

Vi har to like ECMO-skap som inneholder absolutt alt som skal til for å etablere og vedlikeholde ECMO-behandling. Målet er at vi aldri skal trenge å lete noe annet sted for å finne alle komponentene vi trenger når det haster. Ett skap står i tilknytning ved hjerteoperasjonsstuene eller i umiddelbar nærhet til pasienten når vi har pågående ECMO-behandling. Det andre skapet står på cardlab der vi tar imot de fleste ECMO-HLR-pasientene våre

Ecmoskap

Når ECMO-utryknings-teamet er på tur har vi alt utstyret vårt i tre bagger, èn på 150 liter og to på 100 liter. Totalvekten er 70 kg. De rommer primet ECMO krets montert i ECMO-konsollen, ekstra ECMO-krets samt alle wirer, introducere, kanyler og engangsutstyr vi har bruk for. Baggene er alltid ferdigpakket med unntak av kanyler og primet krets som er det eneste vi trenger å pakke hver gang. Det at utstyret er ferdigpakket og sjekket gjør det mulig for oss å presse responstiden ned. Lageret for ECMO-utstyr er tilfeldigvis bare 50 meter unna helikopterbasen på UNN-Tromsø.

ECMObag

Baggene er fra 5.11 Tactical

ECMO-teamtrening i AW139

HKP klippetreningIMG_2606

ECMO-teamet har regelmessig prosedyretrening for å kunne løse akutte, tidskritiske problemer. Her er et bilde fra scenarietrening ombord i helikoptertype AW139. Vi simulerte at vi fikk problemer med ECMO-kretsen slik at vi ikke kunne opprettholde tilfredstillende blodstrøm. Som en del av utstyrte vårt har vi alltid med en ekstra krets i kabinen, men denne trenger å klargjøres av perfusjonisten. Fra vi oppdaget problemet og måtte redusere blostrømmen på ECMO-kretsen til vi hadde etablert ny ECMO-krets med full blodstrøm brukte vi fem og et halvt minutt. Helikopterlegens rolle var å styre respirator, medisiner og eventuelt LUCAS. ECMO-teamet utførte de øvrige oppgavene. I dette oppsettet gjør alle ombord de samme oppgavene de ville gjort om pasienten var på intensivavdelingen på sykehuset istedenfor i helikopteret.

ECMO-utrykningsteamet

IMG_1752 (1)
Illustrasjonsfoto: I tillegg til luftambulanselegen er det med èn thoraxanestesilege, èn hjertekirurg og èn perfusjonist.

ECMO-utrykningsteamet består av thoraxanestesilege som jobber med ECMO til daglig, hjerte-kar-kirurg og perfusjonist. Vi har ferdigpakket mesteparten av utstyret vi skal ha med oss i 3 store bagger. ECMO-utrykningsteamet mobiliserer på under èn time og ofte går det enda kortere tid fra vi får alarm til vi kan være i luften.

Vi foretrekker å fly helikopter som kan ta oss fra dør til dør mellom UNN-Tromsø og det syekhuset vi skal møte pasienten på, men ambulansefly er også en mulighet.

Prosedyren for forberedelse for mottak av ECMO-team har vist seg å være veldig nyttig, og alle sykehus vi har vært på har gjordt en kjempejobb for å tilrettelegge for god og trygg pasientbehandling.